Índice de contenidos
Toggle¿Qué es la sobremordida y cómo solucionarla?

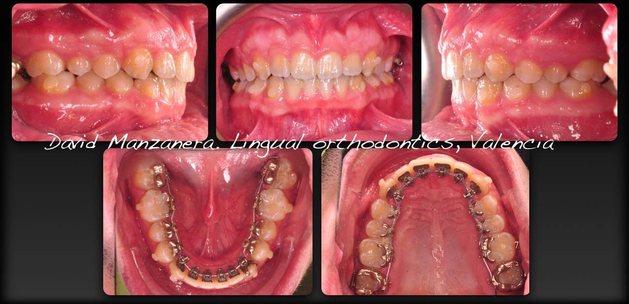
Hola a todos, hoy os quiero enseñar un caso con sobremordida profunda del 100% tratado con ortodoncia lingual invisible en nuestra clínica dental de Valencia.
Nuestro paciente acudió porque tenía los incisivos superiores “inclinados o echados para atrás”, además de los incisivos inferiores apiñados “dientes montados”, paladar estrecho y una sobremordida profunda muy acentuada.
¿Qué es la sobremordida?
La sobremordida muy aumentada es cuando los incisivos superiores (de arriba) cubren demasiado los dientes de abajo, de forma que los incisivos inferiores ni siquiera llegan a verse.

¿Qué problemas genera la sobremordida y cómo puedo corregirla?
Puede ser un problema de oclusión dental (maloclusión) que a menudo causa problemas de desgastes excesivos de ciertos dientes, en otras ocasiones los pacientes llegan a morderse la encía del paladar o de la parte de abajo, y en algunos casos esta sobremordida genera o contribuye a agravar problemas en la articulación de la mandíbula (articulación temporo-mandibular o ATM).
¿Cuál es el tratamiento de la mordida profunda anterior en ortodoncia?
En este caso tratamos el problema en veinte meses con ortodoncia lingual, nivelamos los planos oclusales, solucionamos el apiñamiento y conseguimos una sonrisa más estética y una mordida más sana y funcional. Podéis ver en las fotos finales como al terminar el tratamiento de ortodoncia, los dientes inferiores ya son visibles, y la mordida profunda se ha corregido totalmente.
En las fotos de sonrisa inicial y final se ve cómo los dientes estaban muy inclinados “hacia detrás” (incisivos retroinclinados), y al final están más rectos con respecto a la cara.
Qué tipo de ortodoncia se utiliza para el tratamiento ortodóncico de mordidas profundas
Este tratamiento puede ser realizado también con brackets autoligables, brackets metálicos convencionales o incluso con Invisalign, aunque en este caso nuestro paciente eligió ortodoncia lingual por comodidad, y la verdad es que el resultado no pudo ser mejor.
Imágenes del antes y después caso clínico sobremordida profunda tratado con ortodoncia lingual



Espero que os haya resultado interesante!
Un saludo.