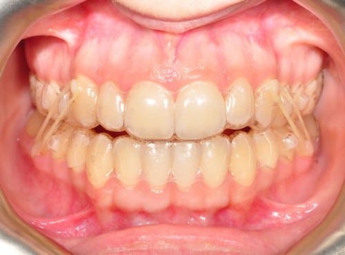
Como os comenté en la entrada anterior, a menudo, en ortodoncia es necesario realizar fuerzas adicionales entre los dientes para mejorar la manera en que éstos encajan, y estos movimientos se hacen por medio de los elásticos para ortodoncia o en este caso elásticos intermaxilares, las clásicas «gomitas» que tal vez muchos de vosotros conozcáis. Son imprescindibles cuando están indicadas y pueden tener diversas y variadas combinaciones en la forma, tipo de uso (nocturno o 24h), magnitud o dirección de aplicación de la fuerza.
Por suerte, también con Invisalign pueden utilizarse cuando son necesarios. Lo que hacemos en estos casos es cementar un pequeño, estético y cómodo botón en los caninos superiores y en los molares inferiores, o en los dientes en los que se necesite, y enganchar en ellos los elásticos.
Luego el paciente se coloca sus alineadores Invisalign, que están recortados a propósito en esas zonas para permitir la colocación de los elásticos. El software Clincheck de Invisalign ya tiene previsto el efecto de dichas gomas en la simulación preparada por el ortodoncista.


En definitiva, ¡que ya hay pocas cosas en ortodoncia que no podamos hacer con Invisalign!
Un saludo
David
3 respuestas
Es posible que el uso de una goma en un lado en el tratamiento con invisalign que estoy haciendo me provoque dolor de cabeza diario y problemas con las cervicales?
me han puesto botones en la última muela superior de atrás por el interior, es decir en contacto constante con la lengua. las gomas van a la muela de abajo por el lado exterior. los botones de arriba son como cuchillitas que me están destrozando la lengua a la hora de comer. mientras tengo las fundas y las gomas no hay problema, siento la tensión, me duelen los dientes pero lo llevo bien y entiendo que es normal porque significa que los dientes se están moviendo y eso es lo que queremos. pero a la hora de comer acabo recurriendo a ponerme las fundas para poder comer y tampoco puedo comer agusto ni comer de todo. no entiendo que esto pueda ser normal durante tantos meses.
gracias si me quieren comentar.
Hola juan, me acaban de poner esos botones hoy y me pasa exactamente lo mismo, me gustaría saber como evolucionó tu situación, un saludo