LOS LEVANTES DE MORDIDA O TOPES OCLUSALES DE LA ORTODONCIA
Tanto en la ortodoncia convencional «por fuera» como en la ortodoncia lingual, muchas veces es necesario «levantar la mordida». Esto se hace para que los dientes, normalmente los anteriores, no choquen contra los brackets ya que, si ello ocurre, o bien pueden descementarse o despegarse los brackets, o bien pueden generarse contactos puntuales diente-bracket que son incómodos para el paciente.
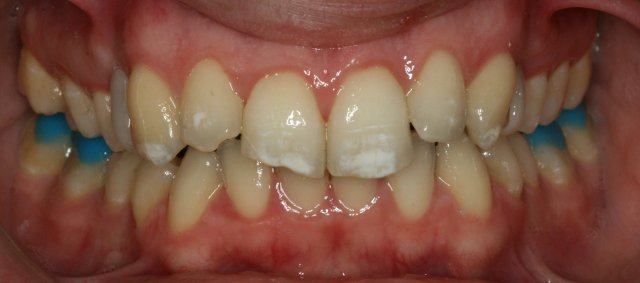
A tal efecto, el ortodoncista coloca «topes oclusales» o «levantes de mordida», que también pueden utilizarse para descruzar la mordida de algún diente que muerde «al revés», y que son añadidos de un material similar al de los empastes que se pegan en los molares y evitan el contacto de los dientes de delante. Son fáciles y sencillos de colocar y, si bien son un poco molestos al principio, al cabo de unos días uno se acostumbra y puede comer normalmente.
Os dejo unas fotos de un paciente en tratamiento con ortodoncia lingual en nuestra clínica de Valencia para que os hagáis una idea.



¡Un saludo y que paséis un buenísimo fin de semana!
David Manzanera
33 respuestas
Mis dientes!! jeje
Creo recordar que estas fotos son de hace 10 o 11 meses, la verdad es que viéndolas y comparando como tengo los dientes ahora parece increíble!!
Sobre los levantes sí que es cierto que al principio cuesta un poco comer, pero poco a poco vas viendo que eres más capaz, y al final era como si no los llevara!
Vaya, da la casualidad que David justamente ayer me quitó ya todos los levantes que me quedaban
En fin, que estoy encantado!!
Madre mía Enrique! Qué rápido los has reconocido!. Jajaja! Es verdad que los tuyos era necesario que fueran más voluminosos que de costumbre, pero ya has visto que ha merecido la pena pasarlo un poco mal al principio para llegar hasta donde hemos llegado ya!. Nos queda mucho menos para terminar, y vamos a conseguir una sonrisa y una oclusión dental de diez!. un abrazo y gracias!.
Ami me los pusieron ayer pero es muy incomodo y no puedo comer nada como cuanto se tardan en quitarlos? Te adaptaste rápido?
Gracias por hacer el intento snciero de hablar sobre esto en clinicaortodoncialima.com. Me siento muy fuerte sobre e9l y le gustareda leer me1s. Si este1 bien, ya que alcanzar la sabidureda extra amplio, puede que la mente que incluye artedculos adicionales similares a e9ste con me1s informacif3n? Sere1 extraordinariamente fatil y provechoso para med y para mis amigos.
me pusieron los mismos añadidos de composite en los molares… es normal que practicamente no se pueda masticar? me podrian explicar como poniendo esos añadidos pueda corregir la mordida que choca con los brakets delanteros. Muchas gracias
Hola,
Me gustaría saber si para casos de maloclusión por sobremordida es mejor poner un botón de nance o topes oclusales. Mi ortodoncista me ha recomendado botón de nance pero al probarlo apenas puedo hablar, no me lo pudo poner ya que necesito tener un poco más de separación en los premolares. Preferiría los topes oclusales ya que se notan mucho menos. Me da la sensación de que el botón de nance está obsoleto. Qué opinión me podría dar?
Muchas Gracias
Tengo una inquietud, siempre se colocan en los molares y tienen un costo extra al que se paga por la ortodoncia. Gracias.
Me lo han puesto hace 2 dias y no puedo morder ni comer cosas solidas porque me cuesta masticar.
Es realmente muy incomodo.
Alguien me puede decir si tengo que llevarlo dursnte todo el proceso de ortodoncia hasta q me saquen los brackets o la placa de levante se saca antes?
La verdad es que esos topes son muy pero muy incómodos. Espero que al transcurrir de los días empiece a ser menos traumático… normalmente por cuánto tiempo se llevan?
llevo dos días con la ortodoncia, me parece un martirio el dolor y las aftas que se hacen pero podría aguantarlo si no me hubieran puesto los topes, no puedo acostumbrarme, se siente horrible, quisiera saber si esto lo usan durante todo el tratamiento o en algún momento me los quitaran… no se puede comer y siento que mis muelas chocan es algo muy extraño
Hola buenas, comento mi situación, resulta que me fui a colocar brackets debido a que tengo maloclusión clase 2 y mi dentista me dijo que iba a compensar mi mordida llevando los dientes superiores hacia atrás y los dientes inferiores hacia adelante, luego de llevar topes durante 5 meses veo que mi perfil está mucho más convexo y perdí proyección mandibular y de mentón, cave recalcar que no llevo tubos en los ultimos molares.¿Es posible corregir esto? ¿Si me quito los brackets y los topes mi perfil volverá a la «normalidad»?
Hola!! Me acaban de poner topes en las muelas de abajo, estoy algo preocupada ya que una de las muelas tuvo endodoncia, me los pusieron porque mis laterales de arriba quedaban detrás de los dientes de abajo, Espero que me den su opinión por favor! 🙂 además siento que son muy altos!
Al parecer el post esta muerto, no veo respuesta a muchas preguntas que coincidente mente son las que me hago. Acabo de empezar hace algunos días el proceso de Ortodoncia y de igual forma me pusieron topes y mis dientes no llegan ligeramente a tocar y es un martirio el comer, ademas que si se sienten incómodos los dientes al masticar con ellos.
El día de ayer me colocaron topes en mis muelas traseras….. es horrible, confieso que la primera ve que me las vi me asuste y llore porque mi boca no cerraba, no estoy segura de cuanto es lo que duran pero ya quiero que me los quiten, no he podido comer bien desde ayer y tengo mucha hambre :C
ayudenme diceindo cuanto dura este tormento, mis dientes no estaban como las de este chico, mi odontologo me dice que es para que los tubos no choquen con los de abajo, pero en si no entiendo muy bien esto
A la final que paso con tus topes? Yo a mi apenas me los pusieron y también tengo mucha hambre:c
Hola a todos, después de 3 años de acabar el tratamiento, me paso por aquí. Ya casi no me acordaba de como tenía mis dientes pero los he reconocido enseguida por las fotos.
A ver, es normal que al principio no sepáis comer con los levantes, es absolutamente normal y lleva un tiempo de adaptación.
A los que pasáis hambre, intentad tomar caldos, salchichas de frankfurt, pan bimbo, merluza, cosas blandas y además hacerlo en trozos muy muy pequeños con el cuchillo para que apenas tengáis que masticar. Os lo dice el tio que llevaba esos levantes de casi 1 cm que veis en las fotos!!!
Por cierto, cuidado por las noches si hacéis fuerza con los dientes, que yo me cargué más de uno y casi me atraganto (y el susto) jeje
Suerte!
Hola. LLevo desde Septiembre con brackets me dieron un presupuesto con 24 meses, tenia un poco de mordida cruzada, pero hasta después de colocarme los brackets no me hicieron la radiografia, llevo gomas desde el primer día y topes los 3 primeros meses..
En la primera revision me dijo que tenía bastante clase II, y que seguramente no se me corregiria con los aparatos, sería con cirugia, las siguientes revisiones me lo confima y me dice que la clase II no se me va corregir que ella me colocara los dientes para que mastique bien.
Pero llevo un tiempo dandole vueltas a la cabeza, y pensando porque no me lo dijo antes de empezar, y me dió un presupuesto cuando no me hicieron la radiografia, ya que encima de que supuestamente no se me va a corregir como será mi tratamiento, ya que es muy largo para que no se me corrija.
¿Que hago? ¿ Ha hecho bien la clinica, o tengo razon en ponerme a pensar que lo hicieron mal por no hacer la radiografía al principio y darse cuenta de mi clase II?
Que pasa si se salen?
Yo tengo topes desde un principio.
Primero me los pusieron en los molares, pero además de ser muy incomodo los rompía por la noche (culpa de mi bruxismo)
Ahora me los ponen detrás de las paletas, pero sigo rompiéndolos por la noche, una y otra vez.
Ya estoy hasta estrenada a la hora de dormir.
Hola, Ayer me colocaron topes en los dos dientes superiores, es supremamente incomodo para masticar ya que mis muelas no chocan con las de arriba es un martirio comer tengo mucha hambre jajaja.
ME GUSTARÍA CONOCER SU OPINIÓN RESPECTO A LOS SIGUIENTES ASPECTOS:
1.COMO SE CONTROLA LA RELACION CÉNTRICA?
2.HAY EVIDENCIA RESPECTO A LA ESTIMULACION DE RESORCIÓN RADICULAR?
Hola, yo llego un mes y medio con la ortodoncia lingual y estos topes, es incómodo y sólo como cosas blandas, me dijo el dentista que con el paso del tiempo me los va bajando, eso espero y que sea rápido porque es un coñazo, a parte que esta tarde se me ha caído uno y ahora sólo puedo comer de un lado, espero mñn coger cita de nuevo en el dentista, esto es un no parar jaja
Suerte a todos y ánimo.
los topes se me salen con frecuencia ya tengo vergüenza de regresar a cada rato donde el dentista para que me los vuelva a colocar, se puede molestar, acabo de comer chocolate con almendra y se volvió a salir uno, si lo pego con algún pegamento casero?
Hola, tengo un problema. Hoy fui a mi ortodoncista y me puso el levante de mordida en mi dentadura de abajo. No lo tolero, me da nauseas tocar ese plastico con la lengua y ademas me baboseo toda….no se como voy hacer para usarlos porque me da mucho asco. a alguien le paso? hay alguna otra opcion que no implique usarlos? 🙁
Ayuda! Se le salen constantemente, ya hasta me da vergüenza pedir cita a cada rato 😭
Soy flaco y me pusieron esos topes… ahora si creo que voy a desaparecer por que no se ni como morder un pan 🙁
que pasa si solo me ponen un tope de un lado y del otro no ¡¡¡
A mí también me pusieron uno en la parte superior izquierda solamente, no cierra mi mordida, no he podido masticar.
Me han puesto topes en las últimas muelas, son muy grandes porque chocaban los brackets y no me cierran los dientes, se me queda un hueco enorme, literalmente solo muerdo con un pincho del tope, tengo que dejar la comida en el paladar e ir deshaciendo la con la lengua, es horrible, es normal que esté así?
A mi me pusieron los topes hace tre semanas, me acostumbre a la semana, pero ahora empecé con un leve bruxismo y me duelen un montón las muelas dónde tengo los topes, es un martirio comer!
¿como estás? me acaban de poner y no puedo comer…
esto es horrible! los dientes no cierran y no puedo comer nada. Estoy pasando mucha hambre. ¡Ayuda!
Ayer me pusieron los topes, aunque en realidad no los necesitaba porque tengo perfecta la mordida y no me chocan los brackets, y uno es mucho más grande que el otro, me duele mucho la muela en la que choca y es una sensación muy agobiante y angustiosa ,no puedo masticar por ningún lado, ya que las palas también me duelen de la ortodoncia. Mi ortodoncista me ha dicho que ya me queda poco aunque llevo ya dos años con la ortodoncia y me han puesto los topes ahora porque se me había caído uno de los brackets de abajo, dice que me tengo que acostumbrar pero es insoportable no poder cerrar la boca, y tengo la duda de como me los van a quitar porque están muy pegados.