La ortodoncia ha avanzado enormemente, y hoy en día puedes corregir la posición de tus dientes sin necesidad de brackets visibles ni alineadores removibles. Con la ortodoncia lingual invisible, y más específicamente con Incognito Lite, obtendrás resultados rápidos y discretos.
La ortodoncia lingual no tiene por qué ser cara ni complicada y NO tienes que volver a llevar un aparato por fuera, ni plásticos de quita y pon: la ortodoncia lingual con Incognito Lite puede ser la solución
Índice de contenidos
Toggle¿Qué es la Ortodoncia Lingual Incognito Lite?
La ortodoncia lingual Incognito Lite es una opción perfecta para quienes buscan corregir pequeños defectos de alineación, como el apiñamiento dental inferior o dientes que se han movido después de un tratamiento anterior. Este tipo de ortodoncia utiliza brackets linguales, que se colocan en la parte interna de los dientes, haciendo el tratamiento completamente invisible.
¿Para quién está indicada?
Si se te han movido los dientes después de la ortodoncia, o tienes problemas leves de apiñamiento en los dientes superiores o inferiores (dientes de abajo montados) y el resto de tus dientes encajan perfectamente, podrías utilizar Incognito Lite.
Si se te han montado los dientes de abajo con el paso de los años, o los tenías bien porque llevaste ortodoncia hace tiempo pero algún diente se ha movido un poco y quieres volver a tenerlos rectos y perfectos, la ortodoncia lingual Incognito lite es una excelente opción.
Cuando la mayoría de dientes están en buena posición y encajan bien con los de arriba, si el paciente no quiere llevar Invisalign porque es una ortodoncia de poner y de quitar del que hay que estar pendiente, puede colocarse ortodoncia lingual Incognito tan solo de colmillo a colmillo, o de premolar a premolar: esto reduce significativamente el precio, hace la ortodoncia invisible más barata, a un precio más asequible al menos, y muy muy cómoda.

Ventajas de la Ortodoncia Lingual Incognito
- Invisible: Al estar los brackets en la parte interna de los dientes, nadie notará que llevas ortodoncia.
- Personalizado: Los brackets de Incognito Lite se fabrican a medida, lo que asegura una mayor precisión en el tratamiento.
- Económico: Al tratarse solo de los dientes visibles al sonreír, se reduce el número de brackets y el coste del tratamiento.
- Rápido: En casos leves, los resultados pueden verse en menos de un año.
En la mayoría de los casos, el tratamiento con Incognito Lite se limita a la zona de los dientes visibles al sonreír (de colmillo a colmillo o de premolar a premolar), lo que reduce tanto el tiempo como el coste del tratamiento.

Testimonio de un Caso de Éxito
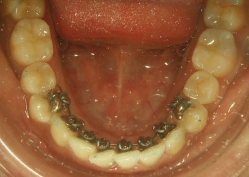
María, una paciente de 18 años, llegó a nuestra clínica preocupada porque sus dientes inferiores se habían movido con los años. No quería llevar brackets visibles, y nos pidió una solución rápida y discreta.
Le propusimos tratarse con ortodoncia lingual, solo de colmillo a colmillo, en la arcada inferior, con Incognito Lite (marca 3M), los brackets linguales con Incognito Lite son un tratamiento completamente invisible y económico que es la solución ideal para este tipo de problemas: brackets y ortodoncia hecha a medida para cada persona.
La ventaja en este caso frente a Invisalign (alineadores transparentes) es que permite hacer el tratamiento solo en una arcada, lo que hace la ortodoncia menos costosa y más asequible, aunque solo puede utilizarse esta técnica en casos puntuales.
En menos de un año, María logró tener sus dientes perfectamente alineados. El tratamiento con Incognito Lite le permitió obtener los resultados deseados sin que nadie notara que llevaba ortodoncia.





Conclusión
La ortodoncia lingual invisible con Incognito Lite es una solución eficaz, rápida y discreta para aquellos que buscan corregir pequeños defectos en la alineación dental. Si te preocupa la estética o el precio, este tipo de ortodoncia es una opción ideal. ¡No dudes en consultarnos para conocer más!
¡Descubre más sobre la ortodoncia lingual invisible y empieza a sonreír sin preocupaciones!